Inspiring Smile Transformations

See the power of cosmetic dentistry, before and after treatment

img discover what s possible 2x

Discover what’s possible

The smile gallery below features real patients of South Waterfront Dental who trusted Dr. Todd Beck and our team to enhance their appearance and oral health. These cosmetic dentistry before and after photos showcase the power of modern treatments to restore confidence, improve function, and create lasting results.

2BEFOREPorcelain 2AFTERPorcelain

Porcelain crowns

Two damaged front teeth — one broken at the gumline, the other with decay — rebuilt with lifelike porcelain crowns

3BEFOREPorcelain 3AFTERPorcelain

Porcelain crowns

Old crown with decay at the gumline. Restored with a new all porcelain crown.

4BEFOREPorcelain 4AFTERPorcelain

Porcelain crowns

Broken down and stained teeth restored with porcelain crowns.

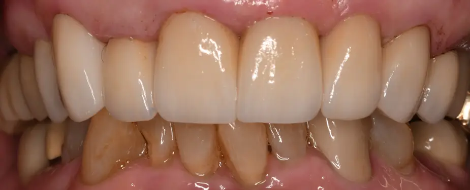
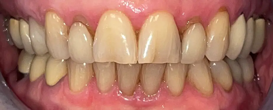
5BEFOREComposite 5AFTERComposite

Porcelain crowns

Fractured front teeth restored with composite fillings and porcelain crowns.

7BEFOREPorcelain 7AFTERPorcelain

Porcelain crowns

Broken down and decayed teeth restored with porcelain crowns.
8BEFOREPorcelain 8AFTERPorcelain

Porcelain crowns

Old metal based crowns with decay restored with new all porcelain crowns.
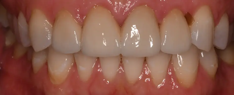
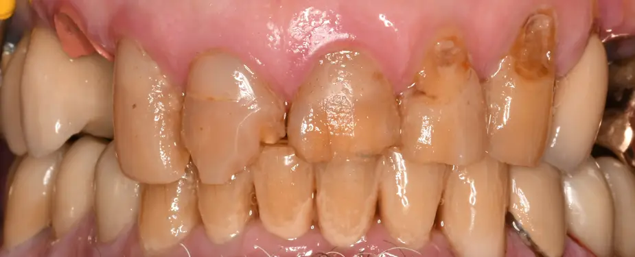
9BEFOREPorcelain 9AFTERPorcelain

Porcelain crowns

Worn and chipped teeth restored with porcelain crowns.